Our dentist is available to help you 24 hours a day, seven days a week

A beautiful smile is often one of the first things people notice, but your smile is about much more than appearance alone. It also plays an important role in your comfort, oral function, and long-term well-being. At Patient-First Dental Care, Dr. Xin Li provides bioesthetic dentistry in Conroe, Texas, to help patients achieve smiles that look natural, feel comfortable, and function in harmony.

Exploring the Art and Science of Bioesthetic Dentistry

Bioesthetic dentistry is a specialized approach that combines art and science to create healthier, more balanced smiles. Rather than focusing only on the appearance of teeth, bioesthetic dentistry considers how the teeth, bite, jaw joints, muscles, and surrounding oral structures work together. This comprehensive perspective allows our dentist to address not just visible concerns, but also the underlying issues that may contribute to wear, discomfort, or instability over time.

If you are looking for a more thoughtful and lasting approach to improving your smile, bioesthetic dentistry in Conroe, TX, may be the solution.

The Foundation of Bioesthetic Dentistry

Bioesthetic dentistry is based on the principle that the natural form and function of the teeth and surrounding structures are essential to both oral health and aesthetic beauty. In other words, a healthy smile should not only look attractive, but also support proper bite alignment, jaw comfort, and efficient function.

Unlike traditional or symptom-focused treatment, bioesthetic dentistry takes a more holistic approach. Instead of only repairing damaged teeth or addressing immediate concerns, Dr. Li looks at why breakdown happened in the first place. This is one of the most important differences between bioesthetic dentistry and cosmetic dentistry. Cosmetic dentistry may improve the appearance of your smile, but bioesthetic dentistry aims to correct the causes of instability so your results can be more comfortable, functional, and long-lasting.

At Patient-First Dental Care, this means evaluating your oral structures as a whole and creating treatment plans designed to restore balance, preserve natural tooth structure when possible, and support lasting oral health.

Key Components of Bioesthetic Dentistry

Occlusal Harmony

One of the central principles of bioesthetic dentistry is occlusal harmony, or the proper alignment of the teeth when you bite and chew. When the bite is imbalanced, it can contribute to tooth wear, jaw pain, headaches, muscle strain, and other functional issues. Bioesthetic dentistry carefully evaluates how your teeth come together and identifies adjustments that may help restore harmony and reduce stress on the oral system.

Functional Aesthetics

In bioesthetic dentistry, aesthetics and function go hand in hand. A beautiful smile should not come at the expense of oral health. Our skilled dentist will design your treatment with both goals in mind, helping you achieve natural-looking improvements that also support proper performance during speaking, chewing, and everyday use. Tooth shape, size, position, and proportion are all considered to create a result that looks seamless and functions comfortably.

Minimally Invasive Techniques

Whenever possible, bioesthetic dentistry prioritizes minimally invasive care. Preserving healthy natural tooth structure is an important part of this philosophy. Depending on your needs, treatment may include conservative restorative options designed to improve aesthetics and function without unnecessary alteration of the teeth.

Bite Analysis

A comprehensive bite analysis is a key part of bioesthetic dentistry. Our dentist may use diagnostic tools and detailed evaluation methods to better understand your bite dynamics and how they affect your overall oral health. This process helps identify areas of imbalance and guides treatment planning that is tailored to your unique needs.

TMJ Health and Whole-System Balance

Bioesthetic dentistry also takes the temporomandibular joints, or TMJs, into account when planning treatment. Because the jaw joints play a critical role in bite stability and comfort, they must be carefully considered when correcting functional issues. When the TMJ is stabilized and the bite is properly supported, patients may experience improved comfort and reduced strain throughout the system.

In some cases, improving this balance may also support better airway function. By creating a more stable jaw relationship and encouraging healthier structural alignment, bioesthetic dentistry in Conroe, TX, can contribute to improvements that extend beyond the teeth alone.

How Bioesthetic Dentistry Is Different From Cosmetic Dentistry

Although the two are sometimes confused, bioesthetic dentistry and cosmetic dentistry are not the same. Cosmetic dentistry is often focused on improving the appearance of the teeth and smile. Bioesthetic dentistry certainly values appearance, but it goes further by correcting the underlying functional issues that can lead to breakdown, discomfort, and instability.

This means bioesthetic dentistry is concerned with why teeth wear down, why certain restorations fail, why jaw discomfort develops, and why some smiles do not remain healthy over time. By addressing the cause of these concerns rather than only the visible effects, our dentist can help patients pursue results that are not only attractive, but also more stable and sustainable.

Benefits of Bioesthetic Dentistry

Enhanced Aesthetics

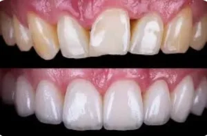
Patients who choose bioesthetic dentistry often enjoy a smile that looks more natural, balanced, and attractive. Because treatment is designed around the natural form and function of the teeth, the results tend to complement the entire face rather than appear artificial or overdone.

Improved Oral Function

Restoring proper occlusion and function can improve comfort while biting, chewing, and speaking. Patients with uneven wear, jaw strain, or bite-related discomfort may benefit from a more harmonious and supportive oral environment.

Long-Term Oral Health

By preserving natural tooth structure and addressing the root causes of dental breakdown, bioesthetic dentistry can help protect your oral health for years to come. This proactive approach is designed to support lasting stability rather than short-term improvement alone.

Prevention of Future Issues

Bioesthetic dentistry does not just address current concerns. It also aims to prevent future problems by creating a healthier, more balanced foundation. When the bite, joints, and teeth work together more effectively, there may be less risk of ongoing wear, instability, and related complications.

Is Bioesthetic Dentistry Right for You?

You may be a good candidate for bioesthetic dentistry if you have worn teeth, bite problems, jaw discomfort, frequent headaches related to clenching or strain, or concerns about both the appearance and function of your smile. It may also be a good fit if you have had repeated dental breakdown and want a more comprehensive approach that focuses on lasting stability.

Dr. Li will evaluate your needs carefully and recommend whether bioesthetic dentistry is the right path for your smile and oral health goals. Call 936-856-9969 today to schedule a consultation and learn how bioesthetic dentistry in Conroe, TX, can support a healthier bite, a more attractive smile, and improved long-term comfort.

FAQs About Bioesthetic Dentistry

What is bioesthetic dentistry?

Bioesthetic dentistry is an approach that improves both the appearance and function of your smile. It focuses on bite balance, jaw comfort, tooth preservation, and long-term oral health.

How can bioesthetic dentistry improve oral function?

Bioesthetic dentistry helps create a more balanced bite and better jaw alignment. This can improve comfort during chewing and speaking while reducing excess pressure on teeth and supporting structures.

Can bioesthetic dentistry help support long-term oral health?

Yes. By addressing the causes of wear, instability, and breakdown, bioesthetic dentistry helps protect natural teeth and supports a healthier, more stable foundation over time.

Who is a good candidate for bioesthetic dentistry?

You may be a candidate if you have worn teeth, bite issues, jaw discomfort, or repeated dental breakdown. It is ideal for patients seeking both functional improvement and natural-looking results.

How is bioesthetic dentistry different from cosmetic dentistry?

Cosmetic dentistry mainly improves how your smile looks. Bioesthetic dentistry also addresses the underlying causes of wear, instability, and discomfort so your results can be healthier, more functional, and longer-lasting.